Everyone Deserves A Healthy Beautiful Smile!

Services

EXAM & CLEANING

WHITE FILLING

FIXED BRIDGES

CROWNS

SEDATION DENTISTRY

TEETH WHITENING

INVISALIGN

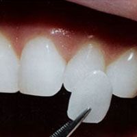
PORCELAIN VENEERS

ROOT CANAL

EXTRACTION

DENTAL IMPLANTS

DENTURES

DISCOUNT PLAN

About Us

About Dr. Khyati Patel

Dr. Patel received her Doctor of Dental Surgery degree from New York University in 2010. Her goal is to provide you with the highest possible standard of personalized dental treatment in the most gentle and professional manner. She provides dental services with the aim of extending the life of your natural teeth to provide you with confidence that a beautiful smile can instill. She believes that a beautiful smile can brighten your life and that strong teeth and gums are essential to your overall good health. Choosing a new dentist could be a daunting task but with her you know that you are receiving the very finest dental treatment.

Dr. Patel lives in Columbus, Ohio with her husband and two kids. When she's not practicing dentistry, you can find her enjoying a cup of tea, whipping up a delicious dish or answering the question 'why' from her 9 year old son Neil for the eleventy-bajillionth time.


Contact Us


41 E Main St, West Jefferson, OH 43162
PHONE: 614-379-2868
FAX: 614-675-6722
Email: WestJeffDental@gmail.com

Office Hours
Day Hours
Monday 9:30am - 4:30pm
Tuesday 9am - 5pm
Wednesday Closed
Thursday 9am - 5pm
Friday 8am - 3pm
Saturday Closed
Sunday Closed

We are also closed on major National Holidays including New Year's Day, Memorial Day, July 4th, Labor Day, Thanksgiving Day, Christmas Eve and Christmas Day.


By routinely seeing your dentist for exams and cleanings, you can: 1. Prevent tooth decay, gum disease, and bad breath. 2. Save money by avoiding costly and extensive dental procedures. 3. Keep your teeth white by reducing staining from food and drinks. 4. Shorten the time spent in your dentist's office. 5. Have a smile that will last a lifetime

Dental Implants are utilized to offer patients a foundation for new restorative teeth where natural teeth are missing or have been extracted. The implant offers the patient the opportunity to regain normal function of the tooth without being forced to resort to a bridge or a dentures.

Sometimes a tooth can be so damaged that it cannot be repaired with either a filling or a dental crown. If the tooth is severely infected, it may be necessary to have the tooth pulled. We can help you determine if a tooth extraction is right for you.

IV Sedation Dentistry provides a way for patients to receive the dental care they need despite their anxieties.

Root Canal is the process of removing the nerves from the roots of a tooth. A root canal is often necessary to save an infected tooth. If an infected tooth is left alone for a long period of time, an abscess can form. An abscess will show up on an x-ray as a dark spot below the apex of the root. This is actually bone loss in the jaw. It is very important to catch this problem before it deteriorates too far.

Invisalign is a new system of straightening teeth without the use of conventional braces. A series of clear plastic aligners are utilized to create tooth movement. Moving teeth with removable aligners is not new. However, the computer program, which can generate a series of aligners with small changes is the new part. Invisalign is recommended for orthodontic situations with mild to moderate spacing or crowding. They are virtually undetectable, easy to use and comfortable to wear.

A removable partial denture is also known as a removable dental bridge. A removable dental bridge fills the gap between two healthy teeth and consists of replacement teeth attached to a gum-colored plastic base. Removable partial dentures are connected by a metal framework that helps keep them in place.

A filling is a composite resin that is used as an alternative to amalgams and veneers. This is an excellent cosmetic option for those patients who do not want the look of silver in their mouths and do not want the expense of veneers. Fillings can be used on teeth that are decayed, cracked, or stained.

A bridge is one of the few options that you have when deciding how to deal with a missing tooth or teeth. The replacement of these missing teeth is necessary in order to maintain the proper mouth functions. Tooth loss can affect the way you eat, speak, and the alignment of other teeth in your mouth.

As we get a little older, our teeth begin to change and are prone to decay. There are many possible reasons for this change in your smile. These reasons can include bruxism(teeth grinding), general decay, cracked fillings, root canals, and many others. If your tooth is beyond repair with a filling material, we may recommend that the best viable option to save the tooth is a full crown. The reasons for this type of restoration in a badly damaged tooth are durability, cosmetic appearance, and overall support of the chewing function.

Over time our teeth tend to become discolored or stained. Whether this is from smoking, coffee, or any other foods, a beautiful smile could be closer than you think. We offer a safe, inexpensive solution to an unsightly smile. Whitening your teeth is a very simple procedure that can be completed in relatively short period of time.

Porcelain Veneers are extremely thin casings of ceramic that are bonded to the front of the patients tooth to create a new smile. Porcelain veneers are placed over the front of teeth that appear too small or large, slightly discolored, or simply are not cosmetically pleasing to the patient. For many patients, teeth may have chipped, become discolored, or are slightly crooked. For the majority of these patients, porcelain veneers can prove to be the perfect solution. When placing porcelain veneers, we pay close attention to the patients surrounding teeth and design each veneer to complement the overall smile. The result is a beautiful, attractive new smile.